概要
睡眠時無呼吸症候群(SAS:Sleep Apnea Syndrome)とは、毎晩大きないびきをかく中で、息がとまった状態が断続的にくり返される場合を言います。健康と思われる成人の中にも多数潜在しています。
呼吸が10秒以上止まっている場合を無呼吸と言います。
この無呼吸が一晩(7時間)に30回以上、あるいは1時間当たり5回以上ある状態を睡眠時無呼吸症候群(SAS)と言います。
日本では習慣的にいびきをかく人は2,000万人以上、睡眠時無呼吸症候群の患者数は約200万人、無症状の人を含めると、この数倍の患者がいると推測できます。
無呼吸で深い睡眠がとれないため、日中の眠気による交通事故、労働災害、仕事や学業の能率の低下などが起り、重大な社会問題を引き起す可能性があります。
また血液中の酸素不足や二酸化炭素の貯留が繰り返され、これがさまざまな臓器に対し悪影響を及ぼし、不整脈、狭心症、急性心筋梗塞、脳梗塞、高血圧、心不全、
糖尿病といった様々な病気をおこしたり、悪化させたりします。
一般の人に比べ高血圧症には3倍、急性心筋梗塞には6倍、脳梗塞には10倍なりやすいといわれています。
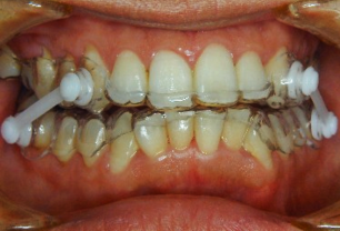
睡眠時無呼吸症候群用のマウスピース
どんなものか?
寝るときに口の中に装置をいれることで、寝ている間の無呼吸の数を大幅に減らすことができ、睡眠時無呼吸症候群の患者さんには血圧の低下などをはじめとする全身症状の改善や、ぐっすり眠った感をもたらし、
昼間眠くなるなどの症状を軽減します。
またいびきのひどい人に用いることでいびきの軽減につながります。
なぜ必要なのか?
睡眠時無呼吸症候群の患者さんは、眠っている際に喉の周りの軟組織(舌の付け根の 部分や首周りの脂肪など)の影響で気道が閉塞し、呼吸ができなくなります。
この頻度が高くなると寝ている間に息をとめて我慢している状態が頻繁にあるのと同じことになります。
想像してみてください。ねている間10秒以上も息を止めている状態が、一時間に20回以上もある。当然熟睡はできませんのでその結果、
目覚めも悪く、昼間 眠くなるというような症状がでてきます。
日本では2003年に新幹線の運転士が睡眠時無呼吸症候群のため勤務中に約8分に渡って眠ってしまう事故があって有名になりました。
新幹線では自動停止装置が働き事無きを得ましたが、これが車を運転中のドライバーにおきれば大事故につながります。
また、睡眠時無呼吸症候群は心臓や全身の血管に大きな負担をかけますので、気づないうちに高血圧などの症状がすすんでいる場合があります。
睡眠時無呼吸症候群の治療の第一選択はCPAPといわれる装置で鼻マスクから圧力の高い空気を常に流しこむことで気道の閉塞を防ぐものですが、装置が大きいことや装着の不快感を訴える患者さんも少なくありません。
またCPAPの装置は軽度の睡眠時無呼吸症候群では保険適用でないという欠点もあります。
そういう欠点を補う装置のひとつが睡眠時無呼吸症用のマウスピースで、歯科医院で制作するものになります。
市販のものとなにが違うか?
睡眠時無呼吸症候群用のマウスピースでもっとも大切なことは、どの位置で噛み合うようにマウスピースをつくるかです。
これによって装置の効果は大きく変化します。
市販のものではその位置決めは患者さんが自分でやることになり適切な位置決めができません。
また、装置がいかに歯や歯茎に対して適合しているかも装置の機能としては大変重要で、この点でも市販の既製品に比べて歯科医院でつくるものは患者さん一 人一人に合わせて大きなアドバンテージがあります。
いびき防止のために
睡眠時無呼吸症候群用のマウスピースはいびきがひどい人にも効果を発揮します。
ただし、いびき用のマウスピースについては健康保険の適用外となります。
睡眠時無呼吸 症候群用のマウスピースについては呼吸器内科や耳鼻科などで睡眠時無呼吸症候群という診断がついていれば健康保険が適用になりますので、検査の結果依頼状をもって歯科医院をご受診ください。
睡眠時無呼吸症候群の検査法
睡眠時無呼吸症候群の検査法には3種類あります。
1. エプワース眠気尺度
エプワース眠気尺度(下記画像)を使って8項目について質問に答えることにより自己診断することができます。

エプワース眠気尺度
2. 携帯型睡眠ポリグラフ法
自宅で携帯型睡眠ポリグラフ法(通常、病院から借用する)を用い、無呼吸、酸素濃度を自分でスクリーニングする検査です。
翌日、借りた病院に持参しコンピューターで解析すると、無呼吸回数、無呼吸指数、動脈血酸素飽和度などがわかり、睡眠時無呼吸症候群であるかないかがすぐ判定できます。
3. 終夜睡眠ポリグラフ法
病院に一泊入院して検査をします。
重症の睡眠時無呼吸症候群あるいは酸素濃度の低下が著明な患者さんが対象になります。
臨床検査技師が夜中に泊り込んで検査をします。すなわち、脳波計、眼球運動、下顎の筋電図、鼻と口の呼吸、いびき音、心電図、胸、腹の動き、体位、足の筋電図などを総合的に測定し、
この結果を見て医師が診断します。
この検査により、睡眠時無呼吸症候群のタイプ(閉塞型、中枢型、混合型)や重症度を判定することができます。
睡眠時無呼吸症候群用の治療法
睡眠時無呼吸症候群の治療法には、生活習慣の改善に加え、3つがあります。
1. 内科的治療・CPAP療法
マスクを介して気道内に陽圧をかけ、気道の閉塞を防ぐことにより、無呼吸を取りのぞく治療。
2. 歯科口腔内装具・オーラルアプライアンス・OA

いびき症、軽症のOSAS患者さん、CPAPがどうしても受け入れられない患者さんに用いる。
患者さんごとにオーダーメイドの上下顎マウスピースを製作し、下顎が睡眠時に重力により首方向に下がらないよう、また少し前方に引き出すことにより、咽頭に適度な空間ができ、閉塞を軽減させる治療。
3. 外科的治療・口蓋垂軟口蓋咽頭形成術
口蓋垂、扁桃、軟口蓋、口蓋弓を含む中咽頭部を切除し、上気道を拡大する手術。
換気の明らかな低下に、動脈血酸素飽和度(SpO2)の3ないし4%以上の低下、もしくは覚醒を伴うものを低呼吸(Hypopnea)と定義し、
睡眠1時間あたりの無呼吸と低呼吸の合計回数を、AHI・無呼吸低呼吸指数(Apnea Hypopnea Index)と言います。
PSG(ポリソノグラフィ)で1時間あたりAHI・無呼吸低呼吸指数が20回以上、自宅で携帯型睡眠ポリグラフ法でAHI40回以上場合には、健康保険で持続陽圧呼吸療法(CPAP)を借用することができます。
内科的治療CPAP療法は、日中の眠気が強く日常生活に支障をきたしている場合、頻回の睡眠時無呼吸が起り、睡眠が分断化されている場合、睡眠時無呼吸が原因となって、
高血圧や虚血性心疾患などを合併している場合にも適用となります。
AHI20回未満である場合、CPAPがどうしても受け入れられない患者さんに、PSG検査の医療機関の依頼で、歯科において口腔内装置(イビキ防止装置)を作製します。
口腔内装置を就寝時に装着することで睡眠時の無呼吸を軽減できます。